tristanbiopsy-2_0

Tristan Project-Initial Pathology Report

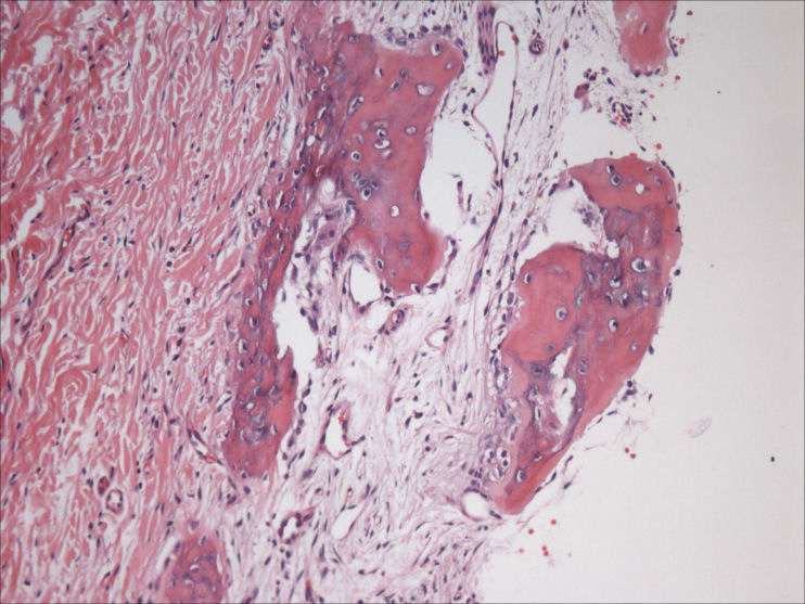
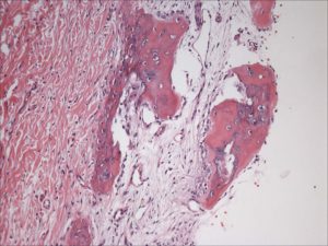
Tristan Project-Initial Pathology Report-Osteoma Cutis

Leave a Comment